图片教学
河南畜牧兽医信息网

配种管理10:
B超扫描与公猪鉴定妊娠技术
 来源:🔗养猪职业经理人  2020-12-04 08:52  点击:3476

前言Foreword

丹育猪以高产著名于世,但由于猪场建设、饲养管理等诸多方面的挑战,让丹育猪在中国的生产性能未能达到预期,但丹育种猪在中国养猪业的受青睐程度仍越来越高。猪译馆特收集整理了一系列丹育相关资料,目前正在转载由丹麦养猪研究中心制作的丹育《配种管理手册》,敬请关注。

编者的话Editor's Note

配种是新一轮生产的开始,配种质量会直接影响受胎率、分娩率、产仔数、断奶数等一系列关键的KPI。因此配种舍的正确管理有助于提高和维持母猪高产、稳产。本手册详细讲解了不同生产模式下查情和配种的各种技巧,其中很多章节图文并茂可以直接作为SOP使用。

18. B超扫描孕检技术

18.1良好的、有规律的妊娠鉴定是B超扫描

所有的母猪应在第24天或之后扫描。

一定要记得扫描病猪舍内的母猪。

工作人员应注意手臂、手、膝盖和脚趾不要被栏中的母猪挤伤。

扫描仪的探头涂上耦合剂后置于腹股沟部。

缓慢地移动探头,直至出现胚胎清晰的图像。

如果图像模糊不清,需要涂更多的耦合剂。

至少要发现3个不同的胚囊,才可判断为妊娠。

如果不确定扫描结果,标记该母猪,并在一个星期内再次扫描。

可在空怀母猪的背上标一个“-”(减号),并转回配种舍。

如果猪场分娩率总是低于85%。需在妊娠第6周时再进行一次扫描。

18.2

错误的做法

扫描时最普遍的错误:

A空怀母猪被扫描成怀孕母猪

由于时间匆忙而将暗的斑点看成是胚胎。

如母猪的一侧被装满尿液的膀胱遮住,则要在另一侧扫描。

将卵巢上的囊肿与胚胎混淆。

B怀孕母猪被扫描成空怀母猪

胚胎较少,且只在母猪的一侧扫描了一次。

母猪在配种后不到24天就进行扫描。

18.3

补充说明: 扫描技术

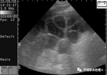
有囊肿的空怀母猪。这头母猪永远不会怀孕。

有一个副卵巢囊肿的母猪。这头母猪能够怀孕。

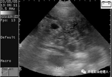
扫描配种第24天的母猪,大的胚胎囊可以很容易的看到。

位置1的超声波图像.

位置2的超声波图像.

位置3的超声波图像.

位置4的超声波图像.

位置5的超声波图像.

19.用公猪来进行妊娠鉴定

19.1

19.1在妊娠舍,公猪的任务是进行发情鉴定

发情鉴定可以通过下列几点来完成:

让公猪在妊娠舍内的观察通道上走动。处于发情期的母猪会靠近公猪。

将公猪放入母猪群时,要注意观察。

公猪舍内装一台监视器,这可检测母猪是否过来接触公猪和接触的频率。

公猪必须要每个星期换一次猪舍,这样可以保持其新鲜感。

公猪需正确饲喂。

对于一头好的公猪,有以下要求:

公猪必须活跃,性欲强。

公猪必须善于交际,友善。

公猪必须有良好的体质。

公猪体型不能太大,不然会吓到小的母猪。

公猪必须正确的接种疫苗。

记住,无论用什么方法,公猪只能发现那些发情明显的母猪。

公猪的效果会不明显,如果公猪总是和母猪在一起。

公猪过于激烈,并一直在猪舍内追逐某些特定的母猪。

公猪的性情不确定。

公猪无精打采。

在有良好条件的圈舍内的好公猪。

公猪对母猪产生兴趣。

活跃的公猪。

懒惰的公猪。

19.2

补充说明: 用公猪来进行妊娠鉴定

当公猪在妊娠舍内走动时,要仔细观察母猪的行为。对公猪感兴趣和显示出发情迹象的母猪,要做标记并转移到配种舍。

不建议将公猪和妊娠母猪饲养在同一圈舍内。公猪不可能会和所有的返情母猪完成交配,也不能让所有的返情母猪出现明显的发情症状。鉴定因 此会变的困难。

如果公猪安置在有监视器的圈舍内,那对圈舍有特定的要求。公猪要能够看到其它母猪。要确保公猪不着凉,因此,猪舍必须有垫料,甚至安装保温盖。母猪去接触公猪将会被电子仪器自动记录下来,但不能保证所有的发情母猪都会和该公猪接触。

公猪必须每个星期换一次地方,这样可以保持新鲜感。查情公猪每隔半个月交配一头母猪,这确保它不会失去性欲。

公猪根据下表饲喂:

在公猪与母猪接触前,需要接种跟后备母猪一样的基本疫苗(猪细小病毒、猪丹毒病毒等)。然后它要跟经产母猪一样,大约每年接种2-2.5次疫苗。

 编辑:刘金娥

声明:河南畜牧兽医信息网刊登的文章仅代表作者个人观点,文章内容仅供参考,并不构成投资建议,据此操作,风险自担。如果转载文章涉嫌侵犯您的著作权,或者转载出处出现错误,请及时联系文章编辑进行修正(电话:0371-65778965 )。河南畜牧兽医信息网原创文章,转载请注明出处及作者。感谢您的支持和理解!