图片教学
河南畜牧兽医信息网

一位美国兽医眼中防控非洲猪瘟的切实举措
 来源:🔗养猪职业经理人  2021-01-25 10:02  点击:6439

我思故我在,作为中国几十万兽医大军中的一员,朱稳森博士的思考确实值得我们学习。现将演讲截屏奉献给诸位。

第一次有人明确提出非洲猪瘟来自于猪肉污染

感染非瘟的母猪表现出流产、血便症状

脾脏肿大不是特殊症状,肾周肿胀及湿润可能才是。肾脏可能出血也可能不出血。

猪群吐血或都便血

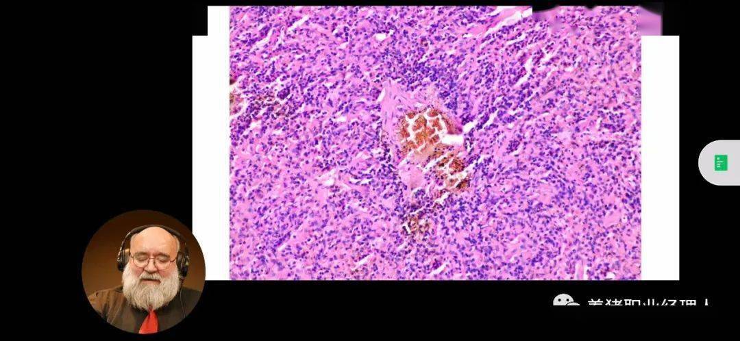
淋巴结出血

肾比大多数类型猪瘟更湿润,水肿更严重

显微镜下感染ASF淋巴结表现出血、坏死、水肿以及组织被破坏

诊断主要依据核酸检测,PCR检测选择样品为血液、肺、脾、扁桃体

疾病的早期预警技术:猪只活动量减少,位置变化的幅度/频率,头部/身体运动的速度;猪只间的互动;多数的时间喜欢躺卧

对猪舍光滑表面及车辆的清洁工作必须引起足够的重视

非瘟病毒耐受力相当强,56度可存活70分钟,而在80~85度三分钟可失活。在粪便,血液和腐败组织中可存活数月,冻肉中几乎可以永久存活

业已证实,过硫酸氢钾在所有应用中均有效,碘和氯制剂在控制非瘟上一点也不可靠;有血清的情况下使用1%氢氧化钠溶液消毒,病毒可存活7天

消毒和流程设置不应该对员工和访客造成伤害

对人员和访客进行喷雾消毒不仅无效还会对人体健康造成潜在的伤害

最好遵守脏净分离原则

我们看到这艘潜艇,可以设想成潜艇内部是完全干净的区域,外面全部是脏区,但如果人员要从里面出来他必须有一个过渡区域

这样我们能理解为什么进出猪场我们为什么要设一个沐浴区,其实就是过渡区

从外面进入生产区我们有个六段分割系统,注意有两次洗澡换衣过程

内部中转车先进入中转台,卸完猪走之后才允许场外卡车过来装猪

这样的三段分隔系统一定是从时间上也有先后顺序分开

小场如果没有中转台,但也必须使用自己可控制的车辆去做对接

要明白非瘟高风险因素是什么,车辆、猪和精液,饲料袋,鞋靴,生产中使用的工具,污染的衣物是前六位的风险

疫苗接种不能拯救猪产业。

我们决不希望在猪群中再出现慢性非洲猪瘟

使用非法疫苗之后几乎是100%可能混合别的疾病产生非典型性的ASF

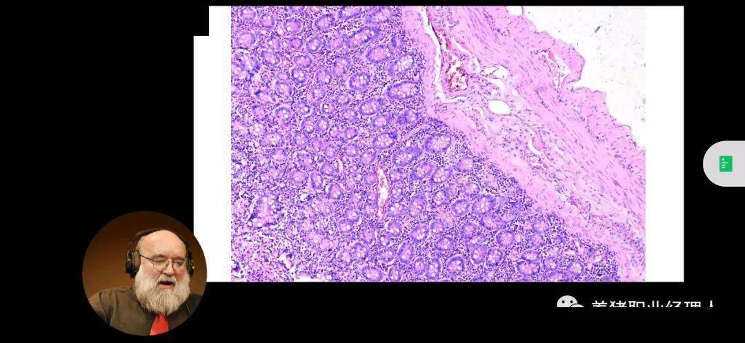
慢性ASF显微病变

非瘟防控关键的三个部分:屠宰场检测,追溯来源猪场,经济上全额补偿

监控-各种控制方法的基础

屠宰场到来源场的个体追踪

可识别的生产控制

方法和审查

通过检测确认ASF阴性,且未免疫

认证

获得商业销售许可(包含断奶仔猪,商品猪及种猪)

屠宰场监控可能需要做抗原及抗体检测,建立起记录并跟踪下去

屠宰场做到分级管理(ABC)

对中国畜牧业的判断有点令人沮丧,系统出现了故障,近十几年来蓝耳、伪狂,PED,每一个新的病原都像是干燥的火药里投入了火星一样传播,非瘟短短半年时间传遍了大江南北,因此我们必须考虑一种新的模式,养猪业需要一场革命才能重新获得涅槃,这样的努力也许象古代传说中的愚公移山,相信众人一心齐努力,一定可以赢得最后的胜利。

 编辑:刘金娥

声明:河南畜牧兽医信息网刊登的文章仅代表作者个人观点,文章内容仅供参考,并不构成投资建议,据此操作,风险自担。如果转载文章涉嫌侵犯您的著作权,或者转载出处出现错误,请及时联系文章编辑进行修正(电话:0371-65778965 )。河南畜牧兽医信息网原创文章,转载请注明出处及作者。感谢您的支持和理解!